Оценка
на независимых
порталах
г. Санкт-Петербург,
ул. Пулковская, д. 2к1
5 мин от метро Звездная
ПН-ВС с 09:00 до 21:00
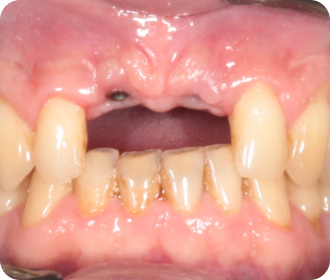
Восстановление всех зубов с пожизненной гарантией
методом ALL-ON-4
новейшим методом по 3D-шаблону
без разрезов с точностью до 1 микрона
Все зубы сразу
до 21 декабря
от 79 000 руб
Консультация врача
до 21 декабря
0 руб
Рассчитайте стоимость лечения и получите бесплатно:

  • КТ-диагностику всех тканей челюсти
  • Консультацию врача-имплантолога
  • План лечения под необходимый бюджет
Высокоточные методы премиум-имплантации и протезирования: от 1 зуба
до всей челюсти
До операции
После операции
Запустила зубы, боялась врачей — выпали почти все, пришлось носить съемные протезы
Это ужасно неприятно — улыбаясь закрывать рот рукой. А сколько новых комплексов и чувство старости. Из-за отсутствия зубов — щеки впали и состарилось лицо.
Светлана Субботина, 60 лет
Проблемы с зубами отравляют жизнь?
Реальные истории от наших клиентов:
Всегда были плохие зубы, осталось 3 зуба. Кости челюсти атрофировались
При разговорах только и думал, как бы чавки не выпали. Съемный протез плохо держался, все время натирал десны. Даже мягкую пищу было сложно жевать.
До операции
После операции
Алексей Малинин, 64 года
До операции
После операции
Всю жизнь откладывал лечение “на потом” — в итоге потерял все зубы
Последние 15 лет улыбаюсь с закрытым ртом, чувствую себя стариком, лишний раз промолчу, чтобы не позориться беззубым ртом — это была не жизнь, это Ад
Владимир Глебов, 55 лет
До операции
После операции
Воспалились десны — начали шататься зубы. Половина уже выпали сами.
Много лет не мог есть мясо, кусать фрукты, горячий кофе или холодные напитки вызывали прострелы. Постоянная боль и кровоточивость десен. Неприятный запах изо рта.
Алексей Малинин, 58 лет
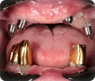
Верните улыбку и зубы за 1 день с методикой «все зубы на 4-х имплантах»
Все зубы на 4-х имплантах
  • Установка за 2 часа
  • Не отличить от настоящих
  • Можно жевать еду без опасений
  • Зубы не выпадают, как съемники
  • Четкая дикция
  • Чувствуются как свои, без инородного тела во рту
от 79 000 руб
в рассрочку от 9100 р/месяц
Акция: до 21 декабря
Пожизненная гарантия
Не приживется имплант — заменим за свой счет
Фиксированная цена
Цену прописываем в договоре — она не изменится в ходе лечения
Налоговый вычет 13%
Поможем получить налоговый вычет за лечение
Вот как за 2 приема изменилась жизнь наших пациентов
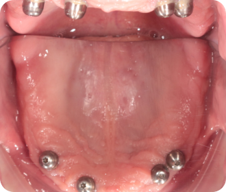
ALL-ON-4
Импланты:
Nobel (Швейцария)
Врач-имплантолог:
Выборов А. Н.
2 июля 2025 года
«Жить без зубов — это не просто стыдно, это больно. Протез натирал дёсны, всё воспалялось. Я не мог жевать, похудел на 9 кг. После имплантации наконец почувствовал себя человеком. Уверенность вернулась, ем нормально, улыбаюсь, не скрываясь.»
Павел, 57 лет, Санкт-Петербург
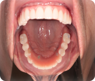
ALL-ON-4
Импланты:
Megagen (Корея)
Врач-имплантолог:
Карпенко А.С.
13 июля 2025 года
«Я откладывала лечение 10 лет. Стыдилась даже перед семьёй. После All-on-4 наконец почувствовала себя женщиной: красивая улыбка, уверенность, нет запаха изо рта. Это не просто зубы — это возвращение к себе.»
Людмила, 58 лет, Стрельна
ALL-ON-4
Импланты:
Hiossen (США)
Врач-имплантолог:
Омаров Г.Ш.
29 июля 2025 года
«Зубы шатались годами. Потом выпали — один за другим. Протез стоял как чужеродный предмет. Ни вкуса еды, ни дикции, да и на вид не мои зубы. Спасибо врачам — за 1 день полностью восстановили, всё как свои. Больше не стыдно смотреть в зеркало и улыбаться внукам.»
Владимир, 64 года, Санкт-Петербург
ALL-ON-4
Импланты:
Nobel (Швейцария)
Врач-имплантолог:
Омаров Г.Ш.
25 августа 2025 года
«Муж умер, и я совсем запустила себя. Зубов не стало — осталась только боль, комплексы и одиночество. После лечения вернулась к людям. Стала снова общаться, петь в хоре, ухаживать за собой. Спасибо врачам за это чудо!»
Марина, 59 лет, Санкт-Петербург
И получите в подарок КТ снимок и консультацию за 0 р
Рассчитайте стоимость новой улыбки за 1 минуту
Пройдите тест за 1 минуту и получите скидку до 30% на все услуги стоматологии!
Сколько зубов нужно восстановить?
Зубов нет или их нужно предварительно удалить?
Сколько времени прошло после потери зуба?
Когда планируете начать лечение?
Мы уже приступили к расчету! Укажите имя и телефон, чтобы получить результаты
Опыт врача в купе
с искусственным интеллектом
устраняем «человеческий фактор» в постановке диагноза и лечении
Диагностика на основе “бесконечного опыта”
Опыт самого титулованного врача всегда ограничен длинной его карьеры. 
Нейросеть определяет наличие заболеваний полости рта, на основании сотен тысяч клинических картин пациентов, загруженных в систему и пополняющихся в реальном времени. В этом плане ее опыт бесконечен.
Ни одного случая осложнения
Нейросеть, обученная на сотнях тысяч курсов лечений пациентов 
с известным результатом, рассчитывает индивидуальный план лечения с минимальной вероятностью побочных эффектов.
Больше никаких подтачиваний коронок, натираний и проблем при смыкании
На основе 3D сканирования и КТ моделирования, нейросеть помогает создавать протезы и импланты, идеально подходящие пациенту, учитывая его анатомические особенности. Больше никаких подтачиваний коронок, натираний и проблем при смыкании.
Мы используем 4 системы искусственного интеллекта
inVivo
Gamma
Webceph
Diagnocat
Опыт врача
в купе с искусственным интеллектом
6 преимуществ цифровой
3D-имплантации
3D имплантация это — уникальная технология, которая благодаря 3D моделированию учитывает анатомические особенности строения челюстно-лицевого аппарата, дает возможность устанавливать штифты с точностью до 1 микрона!
Компьютерная томография создает
изображение зубочелюстной системы в 3D. Далее специальная программа воссоздает точную модель челюсти пациента и позволяет провести виртуальную «репетицию» предстоящей операции.
С ее помощью стоматолог выбирает места под вживление имплантатов с достаточной высотой и объемом костной ткани
С ее помощью стоматолог выбирает места
под вживление имплантатов с достаточной
высотой и объемом костной ткани
Имплант помещается под нужным углом через маленький прокол — он не превышает пары миллиметров.
Так не травмируется десна, не нужно
снимать швы, а также операция
не сопровождается сильным
кровотечением
Минимальное хирургическое
вмешательство в челюстно-лицевой
аппарат пациента.
Снижает развитие
воспалительных процессов и других
побочных явлений на фоне обычной
методики имплантации
После проведения операции пациенты
отмечают отсутствие болевых ощущений.
Теперь установить имплант возможно
без длительной реабилитации
и приема сильных обезболивающих
Быстрое
заживление
Так как вживление импланта
производится путем прокола, без
серьезной травматизации десны,
заживление происходит быстрее,
чем при стандартном
протоколе лечения
Абсолютно точная
установка импланта
Операция проходит
без разреза десны
Импланты вкручивают в костную
ткань в месте отверстия на шаблоне
Стержни устанавливают малоинвазивным методом — без разрезов, через десневой прокол.
Минимальное
кровотечение
Отсутствие воспалительных
процессов
Минимальное хирургическое
вмешательство в челюстно-лицевой аппарат пациента.
Снижает развитие
воспалительных процессов
и других побочных явлений
на фоне обычной
методики имплантации
Отсутствие необходимости принимать обезболивающие препараты
После проведения операции пациенты отмечают отсутствие болевых ощущений.
Теперь установить имплант возможно без длительной реабилитации и приема сильных обезболивающих
Качество лечения — наш приоритет
Оснащаем стоматологию
по последнему слову техники
Интраоральный сканер Medit i500
производитель Medit Корея
Идеально точное снятие цифровых слепков

Раньше, чтобы «снять слепок» зубов, вам в рот клали холодную массу, которую приходилось держать несколько минут. Это было неприятно, долго и часто с ошибками — приходилось переделывать.

Теперь мы используем интраоральный сканер — это как маленькая камера, которая быстро «считывает» ваши зубы и дёсны и создаёт трёхмерную модель прямо на экране компьютера.
Цифровой панорамный рентген Vatech PaX-i
Производитель: VATECH (Корея)
Безопасная и точная диагностика

Врач видит не только зубы, но и корни, кости, воспаления, скрытые кариесы — даже если вас пока ничего не беспокоит.
Это не «старый рентген» — лучевая нагрузка в десятки раз меньше, снимок готов моментально.
По снимку врач точно поймёт, что нужно лечить, где можно ставить импланты, а где пока рано.
Компьютерный томограф
Производитель: Myray (РФ)
3D Визуализация для диагностики заболеваний зубов

Компьютерный томограф — это умная машина, которая делает «срезы» челюсти и зубов в 3D. Она позволяет врачу увидеть то, что обычный рентген не показывает: состояние кости, глубину, ширину, воспаления, кисты, нервы. Даже если зубов уже нет или они шатаются — врач точно видит, где можно ставить импланты, а где сначала надо восстановить кость. Благодаря КТ врач не "угадывает", а точно знает, что и где нужно делать. Это снижает риски и делает лечение безопасным.
Стоматологический микроскоп ALLTION AM-2000 PLUS
Благодаря микроскопу врач точно видит, куда и как вживить имплант, чтобы он крепко держался и не мешал соседним тканям.
Когда имплант установлен точно — он быстрее и надёжнее приживается, кратно меньше риск воспалений и осложнений.
Микроскоп помогает врачу не повредить лишнего, поэтому меньше отёков, боли и быстрее восстановление.
Пройдите тест за 1 минуту
и получите расчёт стоимости на консультации у доктора
со стажем 15+ лет
Честные цены без маркетинговых приемов
Мы не занижаем цены на сайте, чтобы озвучить настоящие на приеме
Вы, возможно, сталкивались с рекламой, где обещают восстановление зубов на имплантах
по невероятно низкой цене. Звучит заманчиво, но на деле оказывается, что в цену включена малая часть лечения — а всё остальное выяснится после лечения.
В нашей клинике вы сразу получаете полную смету:
и импланты, и работа, и протез. Без скрытых доплат
и уловок. Мы уважаем ваше время, ваши деньги —
и ваше доверие.
Обещают новую улыбку «почти даром»?
Как формируется цена
На консультации врач назовёт точную стоимость имплантации и зафиксирует
её в договоре без скрытых платежей и сюрпризов по окончанию лечения
Установка имплантов
Хирургический этап
3D-планирование
Цифровое планирование
процесса имплантации
Импланты
Установка имплантатов
Megagen
Hiossen
Nobel
Работа имплантолога
От установки имплантов
до осмотров после лечения
Установка протеза
Ортопедический этап
Цифровое планирование
3D-моделирование будущей
улыбки и модели протеза
Зубной протез
С использованием
высокоточного оборудования
Работа врачей
Ортопеда и зубного техника
для изготовления и фиксации коронок
+
На консультации врач назовёт точную стоимость имплантации
и зафиксирует её в договоре
без скрытых платежей
и сюрпризов по окончанию лечения
До 14 сентября имплантация
под ключ 34 000 ₽
Обещают новую улыбку «почти даром»?
В рекламе часто указывают лишь часть стоимости. Импланты — дешёвые, но про установку
и протез молчат.

У нас всё честно: вы заранее знаете полную сумму за лечение —
она прописывается в договоре
и не изменится до конца лечения без скрытых доплат и неприятных сюрпризов.
Честные цены без маркетинговых приемов
Мы не занижаем цены на сайте, чтобы озвучить настоящие на приеме
Стоимость протезирования ALL-ON-4 “все зубы на 4-х имплантах”
Osstem
Южная Корея
Имплантаты
4 ед.
+
+
+
+
+
+
Установка мультиюнитов
Временный протез в подарок
Пожизненная гарантия на имплантат
Протез за 1 день
Возможность сразу есть
Титановая балка
Цена
565 000 руб.
Проконсультируйтесь с врачом
Nobel
Швейцария
Имплантаты
4 ед.
+
+
+
+
+
+
Установка мультиюнитов
Временный протез в подарок
Пожизненная гарантия на имплантат
Протез за 1 день
Возможность сразу есть
Титановая балка
Цена
от 79 000 руб.
Проконсультируйтесь с врачом
Lenmiriot
Россия
Имплантаты
4 ед.
+
+
+
+
+
+
до 19 октября
Установка мультиюнитов
Временный протез в подарок
Пожизненная гарантия на имплантат
Протез за 1 день
Возможность сразу есть
Титановая балка
Цена
Благодаря оптовой закупке имплантов Osstem предоставляем скидку 35%
245 000 руб.
Проконсультируйтесь с врачом
от 13 611 ₽/мес в рассрочку
от 31 388 ₽/мес в рассрочку
Имплантаты
4 ед.
+
+
+
+
+
+
Установка мультиюнитов
Временный протез в подарок
Пожизненная гарантия на имплантат
Протез за 1 день
Возможность сразу есть
Титановая балка
Цена
от 79 000 руб.
Проконсультируйтесь с врачом
Имплантаты
4 ед.
+
+
+
+
+
+
Установка мультиюнитов
Временный протез в подарок
Пожизненная гарантия на имплантат
Протез за 1 день
Возможность сразу есть
Титановая балка
Цена
245 000 руб.
Проконсультируйтесь с врачом
от 13 611 ₽/мес в рассрочку
от 31 388 ₽/мес в рассрочку
Nobel
Швейцария
Lenmiriot
Россия
Проконсультируйтесь с врачом
565 000 руб.
Цена
Титановая балка
Возможность сразу есть
Протез за 1 день
Пожизненная гарантия на имплантат
Временный протез в подарок
Установка мультиюнитов
+
+
+
+
+
+
4 ед.
Имплантаты
Южная Корея
Osstem
110% гарантия положительного результата имплантации
В случае отторжения импланта в течение первого года, проведем повторную имплантацию и вернем сверху 10% от стоимости услуги
100% гарантия на качество операции имплантации
В случае отторжения импланта в течение второго года, проведем повторную имплантацию за свой счет
Наши пациенты застрахованы четырехкратной гарантией на имплантацию ALL-ON-4
100% гарантия на качество коронки
В течение 1 года после протезирования, устраним любые проблемы с коронкой бесплатно
50% гарантия на качество имплантации на 50 лет
Дополнительная гарантия на случай отторжения импланта с третьего по 50-ый год с момента имплантации
У нас собственная зуботехническая лаборатория
Все коронки, протезы и временные конструкции изготавливаются прямо у нас, без посредников и долгого ожидания

Ваша новая улыбка — уже в день операции
Мы не ждём отправки в другую лабораторию — всё делается на месте
Стоматолог и техник работают в одной команде

Протезы изготавливаются на оборудовании CAD/CAM с точностью до микрон

Мы подбираем цвет и форму с учётом ваших пожеланий и особенностей
Сразу идеально садится, без подгонок и переделок
Всё контролируется на каждом этапе — от 3D-модели до готового зуба
Зубы выглядят как родные — только лучше
ООО “СМК”

ИНН 0317741551

ОГРН 1140327004014
Лицензия на осуществление медицинской деятельности ЛО-78-01-011145 от 06 октября 2020 г
Работаем на основании официальной лицензии
Действующие акции
Мы стараемся сделать наши услуги доступными для всех!
Скидка 10%
На профгигиену полости рта
Бесплатная консультация
Врача-терапевта о состоянии полости вашего рта
Скидка до 30%
На все услуги нашей стоматологии
Рассрочка
без переплат
от 9100 р в месяц
Не откладывайте лечение,
оплачивайте удобно и комфортно
Рассрочка
без переплат
от 9100 р в месяц
Не откладывайте лечение,
оплачивайте удобно и комфортно
Предложим индивидуальное решение
на основе 15+ лет опыта в имплантации
Решим любую ситуацию, беремся даже за те случаи,
от которых отказались в других клиниках
Протезирование на 4-х имплантах
Мост с опорой на импланты может быть
изготовлен из керамики, металлокерамики
или циркония
Восстановление идеальной улыбки даже
при полном отсутствии зубов
Прочность и долговечность за счёт
равномерного распределения нагрузки
В отличие от мостовидного протеза
не требует обточки соседних зубов
Если нет 1 зуба
Одиночная имплантация
Минимум противопоказаний, не требуется
наращивание костной ткани
Оптимальный вариант,
проверенный временем
Приживаемость импланта 99,9 %
В отличие от коронки не требует
обточки соседних зубов
Восстановление отсутствующего зуба без разрезов, швов и долгой реабилитации
Если нет всех или почти всех зубов
Если нет 3-4 зубов подряд
Мост на имплантах
Протез на имплантах надёжнее
крепится во рту,чем съёмный
и не вызывает рвотного рефлекса
Мост с опорой на импланты может быть изготовлен из керамики, металлокерамики
или циркония
Идеальная улыбка и любимая еда
уже на следующий день после операции
Протез
Восстановление идеальной улыбки даже при полном отсутствии зубов
Минимум противопоказаний, не требуется наращивание
костной ткани
Дешевле, чем протезирование
зубов по отдельности
Прочность и долговечность за счёт равномерного распределения нагрузки
В отличие от мостовидного протеза не требует обточки соседних зубов
Вы ничего
не почувствуете
Мы проводим лечение, используя
высококачественную анестезию
последнего поколения
Если имплант не приживется
бесплатно заменим
или вернем деньги +10% от его стоимости
План лечения — 0 р
Составит оптимальный план лечения, учитывая ваши пожелания
и особенности здоровья
3 варианта материалов
Предложит 3 варианта материалов под Ваши финансовые возможности: эконом сегмент, средний и премиум
Врач со стажем более 10 лет проведёт диагностику костно челюстной ткани и исключит противопоказания к лечению лечения в вашей ситуации
Диагностика + КТ — 0 р
Чтобы понять какой метод имплантации
подходит именно Вам, записывайтесь
на первичную консультацию
Или звоните по телефону
Чтобы понять какой метод имплантации подходит
Вам, записывайтесь
на консультацию
За 12 лет работы клиники мы подарили
красивые улыбки более 35 000 пациентам
За 12 лет работы у нас не было ни одного случая отторжения имплантов
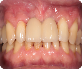
Имплантация передних зубов
Имплантация All-on-4
Имплантация All-on-4
Из-за передних зубов я 7 лет скрывал
улыбку, теперь это в прошлом. Спасибо!
Снова могу есть все что захочу!
Спасибо за это врачам клиники!
Жил без зубов последние 15 лет и стеснялся
даже улыбнуться. Теперь все это в прошлом.
Игорь Иванович М., 57 лет
Василий Игнатьевич А., 63 года
после до
после до
после до
после до
после до
после до
после до
после до
после до
после до
после до
Имплантация верхней челюсти ALL-ON-4
Имплантация верхней челюсти ALL-ON-4
Я снова улыбаюсь без стеснения! Больше 10 лет я не могла нормально улыбаться. Зубы крошились, выглядели ужасно. Приходилось прятать улыбку рукой.
Уже в день установки я увидела себя в зеркале с новой, настоящей улыбкой.
Это счастье, которого я не чувствовала много лет. Спасибо врачам за чуткость, за руки золотые и за то, что вернули мне уверенность!
Жизнь до и после новых зубов — это как небо и земля

После многих лет комплексов и постоянных проблем с зубами я наконец-то решилась на имплантацию. Результат превзошёл все ожидания! Зубы выглядят естественно, удобно есть, ничего не болит, и я снова чувствую себя женщиной, а не старухой.
Ольга Васильевна Л., 59 лет
Татьяна Викторовна Ж., 56 лет
Виктор Федорович К., 60 лет
За 12 лет работы
клиники мы подарили
красивые улыбки более
35 000 пациентам
За 12 лет работы у нас
не было ни одного случая отторжения имплантов
Из-за передних зубов я 7 лет скрывал улыбку, теперь это
в прошлом. Спасибо!
Жил без зубов последние 15 лет и стеснялся даже улыбнуться. Теперь все это в прошлом.
3 000+ имплантаций
Стаж 13 лет
Стаж 15 лет
3 000+ имплантаций
Стаж 8 лет
3 000+ имплантаций
Омаров Гайдар Шабанович
Стоматолог-хирург, терапевт
Мои сертификаты
Ответственными за Вашу новую улыбку будут
ведущие специалисты Санкт-Петербурга
по цифровой 3D имплантации
Смотреть
видео
о враче
Смотреть
видео
о враче
Выборов Алексей Николаевич
Карпенко Артемий Сергеевич
Cтоматолог-имплатолог
Челюстно-лицевой хирург
Мои сертификаты
Мои сертификаты
Смотреть
видео о враче
Смотреть
видео о враче
Смотреть
видео о враче
Несъемный протез на 4-х имплантах
Osstem (Корея)
в рассрочку от 9100 р/месяц
Диагностика + КТ
Консультация доктора
Пожизненная гарантия
Акция до 21 декабря
РАССРОЧКА 0%
от 79 000 р
74% пациентов приходят к нам
по рекомендации друзей и родственников
рейтинг нашей клиники на независимых порталах
Пациент +7 921 36XXXXX
История пациента
Я обратился в клинику после очень негативного опыта и некачественных действий врача в другой клинике. Но проблему надо было решать. Выбрал "Стоматологию​ доктора Выборова". Хотелось бы отметить, что здесь прекрасно налажено взаимодействие с пациентами. Атмосфера радости и комфорта. Как и должно быть! На протяжении 2 месяцев сотрудничали. Лечился у доктора Салиева Ш. Ш. Переделывал временные и ставил постоянные коронки​ на импланты​. Всё прошло комфортно и безболезненно. Никакой боли и дискомфорта от новых зубов. Прекрасный, порядочный и честный человек. Для врача это очень важно. А главное - настоящий профессионал своего дела. Всегда позитивный настрой, уверенность в результате. Счастливый, спокойный пациент. Спасибо большое за новые зубы! 😇

Понравилось
Компетентность доктора, сервис и доброжелательное отношение со стороны персонала клиники. Современное оборудование.
14.06.2025
Розалина Милова
Недавно прошла процедуру имплантации по методу "All on 4", и я невероятно довольна результатом! Команда врачей, включая ортодонта Выборова А.С., проявила высокий уровень профессионализма. Процедура прошла безболезненно, а результат превзошел все ожидания. Теперь я могу снова наслаждаться жизнью и улыбаться без стеснения!
22.06.2025
Алиюшка Ахметгариева
В эту стоматологию попала по совету подруги, и ни разу не пожалела. Очень понравился подход к пациентам. Нужно было ставить несколько имплантов, и мне подробно рассказали о всех этапах, подобрали оптимальный вариант по цене. Сама процедура прошла комфортно, а после установки имплантов никаких осложнений не было. Сейчас хожу на осмотры, все отлично прижилось. Персонал очень приветливый, всегда готовы помочь. Спасибо
Александр
Искал клинику для имплантации зубов в Санкт-Петербурге. Остановился на этой и не прогадал. Цены вполне адекватные, оборудование современное. Врач внимательно изучил мою ситуацию, предложил несколько вариантов решения. Операцию провели качественно, послеоперационный период прошел без проблем. Я очень доволен результатом, зубы выглядят естественно, чувствую себя увереннее. Однозначно рекомендую эту клинику
22.06.2025
15.06.2025
Артем Филосов
После долгих раздумий решился на имплантацию по системе All-on-4. Очень боялся, но команда врачей этой стоматологии развеяла все мои сомнения. Все прошло быстро и безболезненно. Результатом очень доволен! Теперь у меня снова полноценная улыбка и я могу есть все, что захочу. Спасибо огромное за профессионализм и внимательное отношение
Клинику мне порекомендовала подруга, я сегодня была
на приеме у доктора, мне очень все понравилось, будем продолжать лечение.
27 лет
Екатерина
Прохожу лечение у доктора Выборова, проведена большая работа и я очень довольна. У меня стоят уже 2 импланта, сейчас поставили третий. Всем рекомендую лечение у доктора Выборова
75 лет
Валентина
Записывайтесь на консультацию и получите
идеальные зубы с пожизненной гарантией
В интернете вы найдёте только общие рекомендации,а на приёме врач расскажет
всё о конкретно Вашей ситуации и подберёт индивидуальный план лечения
План лечения — 0 р
Составит оптимальный план лечения, учитывая ваши пожелания
и особенности здоровья
3 варианта материалов
Предложит 3 варианта материалов под Ваши финансовые возможности: эконом сегмент, средний и премиум
Расскажем всё про имплантацию и дадим второе мнение, если Вы уже были у врача
Предоставим второе мнение
Врач со стажем более 10 лет проведёт диагностику костно челюстной ткани и исключит противопоказания к лечению лечения в вашей ситуации
Диагностика + КТ — 0 р
Или звоните по телефону
В интернете вы найдёте только
общие рекомендации,а на приёме
врач расскажет всё о конкретно
Вашей ситуации и подберёт
индивидуальный план лечения
Время работы: ежедневно 9:00-21:00
Адрес: Санкт-Петербург, ул. Пулковская, д. 2к1
В 5 минутах от м.Звездная
Мы в соц.сетях:
Лицензия №ЛО-78-01-011145
Санкт-Петербург, ул. Пулковская, д. 2к1
Имеются противопоказания, необходима консультация специалиста
Обращаем внимание, Интернет-сайт носит исключительно информационный характер и ни при каких условиях не является публичной офертой, определяемой положениями Статьи 437 Гражданского кодекса РФ.
Время работы: ежедневно 9:00-21:00
Адрес: Санкт-Петербург,
ул. Пулковская, д. 2к1